Listeriose
 
W. Klee  
 
 
Das Wichtigste in Kürze

Verursacht durch Listeria monocytogenes. Erkrankung assoziiert mit Verfütterung von Silage mit pH > 5,5. Meist erwachsene Rinder betroffen, Ausbrüche auch bei Schafen. Infektion vermutlich über Läsionen in Maul- oder Nasenhöhle oder an den Konjunktiven, aufsteigend entlang den Ästen des N. trigeminus oder anderer Hirnnerven zum Hirnstamm. Dort entsteht eine eitrige Hirnstammenzephalitis mit Mikroabszessen und eine nichteitrige Meningitis. Je nach Lokalisation und Ausdehnung der Läsionen sind unterschiedliche Hirnnerven (meist V., VI., VII., VIII., IX., X.) betroffen, mit entsprechend unterschiedlichen Ausfallserscheinungen. Verdachtsdiagnose anhand (einseitiger) Hirnnervenausfallserscheinungen und des Befundes der Liquoruntersuchung. Allerdings kein Erregernachweis im Liquor möglich ! Differentialdiagnosen: andere zentralnervöse Erkrankungen. Therapie: Tetrazykline oder Penicillin in hoher Dosierung über mindestens eine Woche. Symptomatische Therapie. Prognose bei erhaltenem Stehvermögen vorsichtig bis günstig. Listeriose ist meldepflichtig. Prophylaxe: sachgemäße Silierung. Schafe können geimpft werden.


 

 
 Prüfungsstoff
 
 
Erreger Differentialdiagnosen
Epidemiologie Behandlung
Pathogenese Prognose
Klinische Erscheinungen gesetzliche Vorschriften
Diagnostik Prophylaxe

Erreger:
Listeria monocytogenes (der Name rührt von der Blutmonozytose her, welche bei Labornagern nach experimenteller Infektion auftritt), ein grampositives Stäbchen, ist in der Umwelt weit verbreitet, resistent, braucht zur Vermehrung pH > 5,5. Es sind mehrere Serotypen bekannt. (Auf der Basis der Sequnzierung des Gesamtgenoms werden über 500 Sequenz-Typen unterschieden.) Bei Enzephalitis wird am häufigsten Serotyp 4b gefunden. L. m. vermehrt sich intrazellulär. Antikörper schützen nicht vor Erkrankung. Bei Schafen ist auch L. ivanovii als Erreger von Aborten, nicht aber von Hirnerkrankungen beschrieben. Listerien können sich außerhalb von tierischen Organismen vermehren, auch bei niedrigen Temperaturen (> 4 °C).
 

Epidemiologie:
Assoziiert mit Fütterung von Silage mit pH > 5,5, also solcher, die nicht korrekt durchgegoren ist, z.B. wegen Verschmutzung (besonders bei Schafen); sporadisch bei Rindern (insgesamt aber eine der häufigsten ZNS-Erkrankungen bei Rindern). Betroffen sind meist erwachsene Rinder, selten Tiere im Alter unter 18 Monaten. Ausbrüche bei Schafen. Breites Wirtsspektrum, das auch den Menschen einschließt! Babies und immunsupprimierte Erwachsene (Schwangere) sind bei Ausbrüchen besonders gefährdet. Direkte Übertragung von listeriosekranken Tieren auf den Menschen wird von manchen Autoren für möglich gehalten, erscheint aber sehr unwahrscheinlich. Meistens sind sekundär kontaminierte Lebensmittel (Milchprodukte) Ausgangspunkt von Ausbrüchen bei Menschen. Listeriose kann vor allem für Menschen mit Schwächung des Immunsystems (Kleinkinder, Schwangere, ältere Menschen) gefährlich werden. Todesfälle kommen vor.

Isolierte Erkrankung der Augen wird mit der direkten Infektion aus Silage in Verbindung gebracht, vor allem, wenn sie in Raufen in Kopfhöhe oder höher (z.B. an Schafe oder Hirsche) angeboten wird.
 
 

Pathogenese:
Da die Exposition gegenüber dem Keim vermutlich ein alltägliches Ereignis ist, sind zusätzliche Faktoren anzunehmen (Abwehrschwäche). Infektionsweg ist nicht völlig geklärt, wahrscheinlich über Läsionen in der Mundhöhle, Nasenhöhle oder in den Konjunktiven, aufsteigend entlang Ästen des N. trigeminus oder anderer Hirnnerven (z.B. N. oculomotorius) zum Hirnstamm. Dort entsteht eine eitrige Hirnstammenzephalitis mit Mikroabszessen (in deren Verlauf die Kerngebiete verschiedener Hirnnerven betroffen werden können) und eine nichteitrige (!) Meningitis. Art und Lokalisation der ZNS-Veränderungen sprechen auf jeden Fall gegen eine hämatogene Einsaat.

Andere mögliche Folgen einer Infektion mit L. monocytogenes sind Uveitis, Keratokonjunktivitis, Septikämie (vor allem bei Kälbern und Lämmern mit der möglichen Folge einer Meningoenzephalitis), Mastitis, Orchitis, Abort, Pneumonie.
 

Klinische Erscheinungen (bei Listerienenzephalitis):
Je nach Lokalisation und Ausdehnung der Läsionen sind unterschiedliche Ausfallserscheinungen im Vordergrund. Fieber besteht nicht regelmäßig. Störung des Allgemeinbefindens (aufgrund spezifischer Läsionen im Gehirn und/oder als Folge von Dehydratation und Azidose), Funktionsausfälle verschiedener Hirnnerven.
Die Ausfallserscheinungen sind abhängig davon, welche Gehirnnerven betroffen sind (siehe Glossar).
Bevorzugt sind N. trigeminus, N. abducens, N. intermedio-facialis, N. vestibulocochlearis, N. glossopharyngeus und/oder N. vagus betroffen. Schädigungen der übrigen Hirnnerven sind relativ selten.

Video, 55 Sek., 3,9 MB   Die Videosequenz zeigt eine Kuh mit Gleichgewichtsstörungen (kippt nach rechts; vorne fixiert, umkreist sie die haltende Person einseitig nach links herum). Bei dem zweiten Rind hängt das rechte Ohr etwas, das rechte Auge wird etwas geschlossen gehalten, der Oberlippentonus an der linken Oberlippe ist physiologisch, rechts ist er deutlich reduziert, das Tier hat einen "Schlotterkiefer", der Ohrabwehrreflex ist links erhalten und rechts aufgehoben.

Erbrechen ist als frühes Symptom beschrieben. Speicheln kann sehr ausgeprägt sein. Ob es zu vermehrtem Speichelfluss kommt oder ob "nur" das normale Speichelvolumen nicht abgeschluckt wird, ist nicht klar. Folgen sind eine u.U. sehr ausgeprägte metabolische Subtraktionsazidose, Exsikkose und Eintrocknung des Panseninhaltes (was anscheinend schmerzhaft ist), Koprostase.
Im Liquor ist die Zahl der Zellen leicht erhöht, wobei mononukleäre Zellen (Monozyten und Lymphozyten) vorherrschen. Der Eiweißgehalt ist ebenfalls leicht erhöht. Der Glukosegehalt soll (besonders bei Schafen) über dem des Plasmas liegen können. Die Erreger sind (bei der Listerienenzephalitis) im Liquor nicht (!) nachzuweisen.
 

Diagnostik:
Die Diagnose kann am (über)lebenden Tier nicht gesichert werden. Einseitige Hirnnervenausfallserscheinungen und die beschriebenen Liquorveränderungen erlauben aber eine fundierte Verdachtsdiagnose.


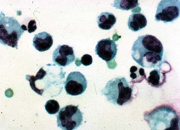
Durch Zentrifugation angereicherte Liquorzellen bei einem Tier mit Listeriose (May-Grünwald-Färbung): Vermehrung der Leukozyten bei Vorherrschen der mononukleären Zellen (Monozyten und Lymphozyten)
 

Differentialdiagnosen:
Otitis media und interna, CCN, ISTMEM, Tollwut, Bleivergiftung, Hirnbasisabszess, nervöse Ketose, Borna.
 

Behandlung:
In vitro ist L.m. gegenüber vielen Antibiotika empfindlich. In praxi werden meist Tetracycline (10-20 mg/Kg zweimal täglich) oder Penicillin (40000 IE/Kg einmal täglich) verwendet.
Die Behandlungsdauer sollte eine Woche nicht unterschreiten.
Korrektur von Störungen des Flüssigkeits- und Säuren-Basen-Haushaltes ist sehr wichtig. Solange eine Kuh nicht trinken kann und speichelt, sollte sie etwa 10 % der Körpermasse an Wasser und 500 bis 1000 g NaHCO3 per Sonde bekommen. Bei extremer Dehydratation sollte zunächst eine Infusion (20 - 30 Liter) verabreicht werden.
Weiche Aufstallung und gute Überwachung sind notwendig.
 

Prognose:
Solange die betroffenen Tiere noch stehen können, ist ein Behandlungsversuch sinnvoll. Innerhalb einiger Tage kann sich erstaunliche Besserung einstellen. Die Ausfallserscheinungen bilden sich langsam zurück. Aborte sind bei der enzephalitischen Form selten.

Bei Schafen verläuft die Erkrankung anscheinend deutlich rascher als bei Rindern. Ob dabei auch eine Rolle spielt, dass Schafe in größeren Herden nicht so genau beobachtet werden, ist nicht bekannt.
 

§:
Listeriose ist meldepflichtig, wird aber nicht bekämpft.
 

Prophylaxe:
Sachgemäße Silierung. Schafe können geimpft werden.
 

PubMed
 
 
 


Letzte Änderung: 06. 05. 2018


home-page      Inhaltsverzeichnis
© Copyright 2018, Klinik für Wiederkäuer, Ludwig-Maximilians-Universität München